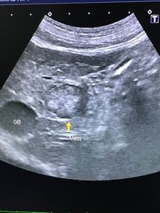
10歳の柴犬が毎年行っているフィラリア検査と一緒に健康診断を兼ねた血液検査を実施した。昨年までは全く異常がなかったが今回はALTとASTという2つの肝酵素が高値だったため、念のためX線検査と超音波検査を実施した。X線検査で腹腔内に針のような細い金属らしきものが認められたが、飼い主様は心当たりがないとのことだった。また超音波検査では肝臓の外側左葉に約2㎝ほどの低エコー部と、右葉に複数の1㎝台の低エコー部が認められた。次に針状異物が管腔臓器内か外なのかの区別と肝臓のマス病変の確認のため、検査センターにてCT検査を行なった。その結果、針状異物は管腔臓器の外側に存在していることが判明。また造影剤投与後のCT検査で約2.4㎝の腫瘍らしいものが1ヶ所と複数の嚢胞と思われるものが確認された。その後肝臓外側左葉にある2.4㎝の腫瘤の切除と針状異物の摘出手術を実施した。肝臓の摘出腫瘤は病理組織検査で肝細胞癌だった。マージンの血管内浸潤はマイナスだったので、とりあえず一安心だが、定期的な検査は必要だ。肝細胞癌は遠隔転移はほとんどないが、肝臓内に再発することはあり得るため、経過を見ながら定期検査をすることが大切だ。いずれにしても、今回はフィラリアの検査と一緒に健康診断をすることで、針状の異物と肝臓の腫瘍が発見でき、さらにこの針状異物と肝細胞癌を摘出することが出来たため、健康診断の有用性が改めて確認できた。











